Studio Stradiot | T/F. +385.51.212.578 | Contact us

Our services

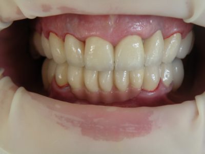
Dental bridges and crowns

With the help of dental prosthetics, lost teeth are not a big problem anymore. Dental bridges and crowns can replace lost or damaged teeth that can create aesthetic problems and problems with the functionality of the entire masticatory system.

While dental crowns serve for covering one tooth (that has been damaged, treated or weakened in any way), dental bridges, on the other hand, compensate the loss of more teeth in the teeth row.

Before the actual installation of the dental bridges and crowns, the natural teeth need to be grinded (to become carriers), so the dental bridges and crowns could fit on them. After the grinding, the impression of the teeth must be taken, on the basis of which dental implants are made, i.e. bridges or crowns, depending on the need. The procedure is continued with the actual production in the laboratory, followed by a checkup of the „allowance“, of the accuracy of the bite and of the aesthetics of the final work in the mouth of the patient. If, after all the detailed checkups, the patient is satisfied with the work, at first a temporary and then a permanent cementation can be done.

Materials

Normally, the dental bridges and crowns can differ according to the materials from which they are made.

That can be four types of material:

A) metal – ceramics

As such, they represent the traditional way of production of ceramic dental bridges and crowns. In the case of metal – ceramics implants, the base is always completely covered with ceramics.

B) zircon – ceramics

As such, they represent the more modern version of the ceramic dental bridges and crowns, but can be implemented only with certain indications.

C) gold – ceramics

As such, they represent the solution for the patients who manifest certain allergies and, at the same time, are at a very high aesthetical level and there are no contraindications for their implementation; even today, these kind of dental treatments are some of the best quality and aesthetically best prosthetics.

D) pure ceramics

The so called „jacket“ crowns or, more commonly known as „empress – ceramic crowns“.

Dental bridges are a better solution than dentures

Dental bridges are a better solution than dentures for more reasons. The most important reason is their firmness, i.e. the impossibility to move in the mouth during chewing and talking. Besides that, considering that they are not in touch with the palate, they do not reduce the pleasure in food and they do not impede speech and thereby the adjustment to them is faster and easier. Also, the teeth look completely natural and they are also protected from dental caries. The period of adaptation to the new dental bridges and crowns is very short, so the patient can very quickly feel like he has its own and completely natural teeth in the mouth.



Gallery